关于植物源活性成分调节免疫力的作用,前两期我们分享了姜黄和红参,感兴趣的朋友可以往回看哦。
今天,我们来聊聊大家熟知一个产品——葡萄籽提取物,提到葡萄籽提取物,大家最最想想到的一个功效就是抗氧化,这和维C是一样的。目前市面上有很多相关产品也是将葡萄籽和维C复合使用,例如汤臣倍健家的葡萄籽维生素C加E片。

疫情期间,维C的需求剧增,与免疫力相关的研究和报道也非常多,那葡萄籽是否有相关的功效呢?
小贴士:健康成年人一天维生素C的推荐摄入量RNI为100mg,最大耐受剂量为1000mg,如果由于各种原因而无法从日常膳食中摄入充足的VC,可以适量摄入一些维生素C补充剂,但每天补充100-300 毫克就足够了。
我们先来看看一些相关的体外研究:
1、葡萄籽提取物对模型食物系统和胃部条件下猫杯状病毒,鼠诺如病毒和甲型肝炎病毒的抗病毒作用


图:经不同处理的病毒透射电镜(TEM)图像
研究了葡萄籽提取物(GSE)在室温和37℃下24h内对猫杯状病毒(FCV-F9),鼠诺如病毒(MNV-1)和甲型肝炎病毒(HAV)时间和计量依赖性抑制作用;以及37℃食物模型(苹果汁和2%的牛奶)和模拟肠胃道环境下GSE对病毒的影响。结果表GSE对病毒的抑制效果随时间和浓度的增加而增加;在模拟肠胃液的环境中,2 mg/ml的GSE在6小时后将FCV-F9、MNV-1和HAV降低到未检出的水平。
2、葡萄籽提取物可减轻丙型肝炎病毒的复制和病毒引起的炎症

图:葡萄籽提取物(GSE)抑制丙肝病毒(HCV)蛋白合成和RNA复制

图:GSE抑制HCV复制和HCV诱导的炎症反应的机制模型
体外细胞实验结果表明,GSE处理表现出显著的抗丙型肝炎病毒(HCV)活性,并抑制了由HCV升高引起的环氧合酶2(COX-2)的表达来抑制HCV复制,这与这与IKK调节的NF-κB和MAPK / ERK/ JNK信号通路的失活有关。此外,GSE还减弱了HCV诱导的炎症细胞因子基因表达。
3、葡萄籽原花青素提取物对黄曲霉毒素B1所致小鼠亚慢性免疫损伤的干预作用


图:AFB1、GSPE及其联合治疗对小鼠脾脏指数和胸腺指数,血清白细胞介素、肿瘤坏死因子和干扰素的影响
持续6周向小鼠给药100μg/kg黄曲霉毒素B1(AFB1)诱导小鼠慢性免疫损伤,分别以50 mg/kg 和100 mg/kg 的不同剂量原花青素干预小鼠,分析小鼠体重、免疫器官指数、脾脏抗氧化能力、血清免疫球蛋白含量、炎性细胞因子表达水平的变化。结果表明GSPE可减轻AFB1诱导的体重增加和免疫器官萎缩;AFB1模型组的脾脏丙二醛(MDA)水平显着升高,过氧化氢酶(CAT),谷胱甘肽(GSH),谷胱甘肽过氧化物酶(GSH-PX)和超氧化物歧化酶(SOD)的水平显著降低。而GSPE可以显着抑制AFB1引起的脾脏氧化应激损伤。此外,AFB1显著升高白介素1β(IL-1β),IL-6,肿瘤坏死因子α(TNF-α)和干扰素γ(IFN-γ)的表达。而GSPE可以不同程度降低这四种促炎因子的表达并抑制小鼠的炎症反应。结果表明,GSPE可减轻AFB1诱导的氧化应激并显着改善AFB1诱导的小鼠免疫损伤。
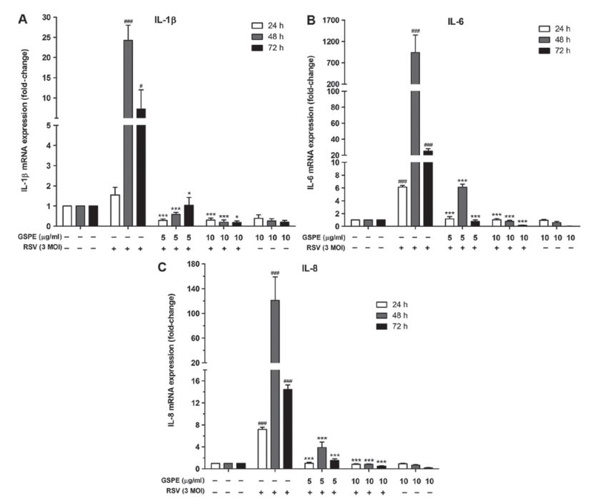
4、葡萄籽原花青素提取物预处理可下调呼吸道合胞体病毒感染气道上皮细胞促炎细胞因子的表达


图:GSPE处理后促炎细胞因子的表达
用GSPE预处理气道上皮细胞A549,观察GSPE在呼吸道合胞体病毒(RSV)感染过程中对细胞因子产生的影响。A549细胞经RSV感染,加或不加GSPE预处理,培养24h、48h、72h,检测白介素(IL)1β,IL 6和IL 8的表达。结果表明RSV感染引起促炎细胞因子的表达显著增加。但是,GSPE预处理后降低了IL-1ß,IL-6和IL-8的表达水平。GSPE通过减少RSV诱导的气道上皮细胞中促炎细胞因子的转录来调节免疫反应,这表明GSPE有助于预防RSV诱导的气道疾病。

图:细胞对OPC反应的模型
综上所述,体外实验表明葡萄籽提取物有抑制病毒复制,抗病毒的作用,并能减轻病毒引起的炎症反应,以及免疫刺激作用。